Dubai’s Trusted invisalign® Experts
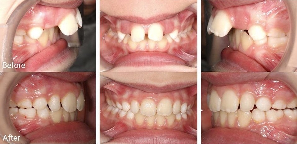
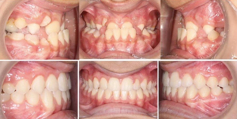
Invisalign® Before and After: Real Transformations
Witness the impact of invisalign through actual patient results.
What Makes invisalign® Different?
Invisalign® aligners stand out through their combination of advanced technology and precision design. Each treatment begins with a 3D digital scan that maps every detail of your teeth, allowing for a fully customized plan that guides each movement with accuracy.
Nearly invisible finish
No diet or lifestyle restrictions
Perfect for all ages
Smooth, comfortable material

What Makes invisalign® Different?
Invisalign® aligners stand out through their combination of advanced technology and precision design. Each treatment begins with a 3D digital scan that maps every detail of your teeth, allowing for a fully customized plan that guides each movement with accuracy.
Nearly invisible finish
No diet or lifestyle restrictions
Perfect for all ages
Smooth, comfortable material

What Makes invisalign® Different?
Invisalign® aligners stand out through their combination of advanced technology and precision design. Each treatment begins with a 3D digital scan that maps every detail of your teeth, allowing for a fully customized plan that guides each movement with accuracy.
Nearly invisible finish
No diet or lifestyle restrictions
Perfect for all ages
Smooth, comfortable material

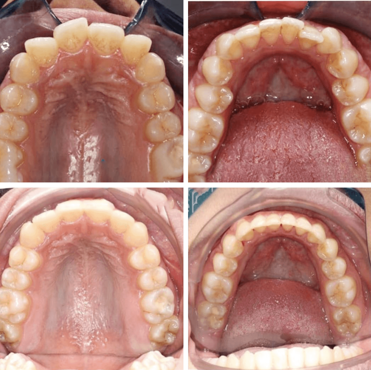
Before & after invisalign®
Visual Proof of Precision
Visual Proof of Precision
See the difference with invisalign before and after treatment, proving its effectiveness in correcting mild to complex cases of improper teeth alignment.

Who Can Wear Invisalign®?
Schedule a consultation with an Invisalign provider.
Each plan for clear aligners is customized to suit different dental stages, ensuring safe, effective, and comfortable results for every age group.
Children can start early correction with age-appropriate aligners
Teens benefit from discreet treatment that fits their lifestyle
Adults can improve their teeth without interrupting daily routines
Seniors can enhance alignment comfortably at any stage of life
It is always best to consult a dentist for a personalized invisalign® treatment plan.
Testimonials
Confident Smiles, Happy Patients
Confident Smiles, Happy Patients
was with a few doctors, including Dr Eiad, who did the teeth cleaning process after finishing my invisalign process. He was very kind, welcoming, and clearly explained the process and was open to any questions I had. Very comfortable environment, doctors there are always so cheerful and welcoming, and I enjoy being here. Very professional as well, and I know my smile is in good hands.
Leyla Negre Tozzi
Dubai
was with a few doctors, including Dr Eiad, who did the teeth cleaning process after finishing my invisalign process. He was very kind, welcoming, and clearly explained the process and was open to any questions I had. Very comfortable environment, doctors there are always so cheerful and welcoming, and I enjoy being here. Very professional as well, and I know my smile is in good hands.
Leyla Negre Tozzi
Dubai
was with a few doctors, including Dr Eiad, who did the teeth cleaning process after finishing my invisalign process. He was very kind, welcoming, and clearly explained the process and was open to any questions I had. Very comfortable environment, doctors there are always so cheerful and welcoming, and I enjoy being here. Very professional as well, and I know my smile is in good hands.
Leyla Negre Tozzi
Dubai
We’ve just completed an incredible 1.5-year Invisalign journey with Dr. Micheline, and I couldn’t be more grateful. From day one, she has been professional, kind, and genuinely invested in our progress. Her consistency, follow-ups, and motivating approach made every visit smooth and reassuring.
Pascale Haddad
Dubai
We’ve just completed an incredible 1.5-year Invisalign journey with Dr. Micheline, and I couldn’t be more grateful. From day one, she has been professional, kind, and genuinely invested in our progress. Her consistency, follow-ups, and motivating approach made every visit smooth and reassuring.
Pascale Haddad
Dubai
We’ve just completed an incredible 1.5-year Invisalign journey with Dr. Micheline, and I couldn’t be more grateful. From day one, she has been professional, kind, and genuinely invested in our progress. Her consistency, follow-ups, and motivating approach made every visit smooth and reassuring.
Pascale Haddad
Dubai
My two daughters and I have been clients at the Invisalign Center for two years and have nothing but praise. Dr Mervat is an exceptional orthodontist who ensures absolute perfection. She is wonderful with children and incredibly kind. The whole staff, including the reception team, dentists and dental assistants are incredibly professional. A huge thank you to everyone.
Victoria McLuckie
Dubai
My two daughters and I have been clients at the Invisalign Center for two years and have nothing but praise. Dr Mervat is an exceptional orthodontist who ensures absolute perfection. She is wonderful with children and incredibly kind. The whole staff, including the reception team, dentists and dental assistants are incredibly professional. A huge thank you to everyone.
Victoria McLuckie
Dubai
My two daughters and I have been clients at the Invisalign Center for two years and have nothing but praise. Dr Mervat is an exceptional orthodontist who ensures absolute perfection. She is wonderful with children and incredibly kind. The whole staff, including the reception team, dentists and dental assistants are incredibly professional. A huge thank you to everyone.
Victoria McLuckie
Dubai
I highly recommend Dr Fidha Nazzal! She is the best, fixed my crooked tooth with a very natural look you cant even tell the difference! Super sweet and you feel 100% safe and confident with her.
Lara Jaber
Dubai
I highly recommend Dr Fidha Nazzal! She is the best, fixed my crooked tooth with a very natural look you cant even tell the difference! Super sweet and you feel 100% safe and confident with her.
Lara Jaber
Dubai
I highly recommend Dr Fidha Nazzal! She is the best, fixed my crooked tooth with a very natural look you cant even tell the difference! Super sweet and you feel 100% safe and confident with her.
Lara Jaber
Dubai
Highly, highly recommend. The doctors are very professional, and the experience at the clinic is perfect. Customer service is also the best I've seen at a dental clinic. If you're considering Invisalign treatment I would recommend you go to the original Invisalign Clinic provider and not a 3rd party provider/clinic to guarantee the best results and the most optimal treatment. Pricing is not going to vary by that much, but you will be getting the best of the best doctors at this centre.
Reem Al Mustafa
Dubai
Highly, highly recommend. The doctors are very professional, and the experience at the clinic is perfect. Customer service is also the best I've seen at a dental clinic. If you're considering Invisalign treatment I would recommend you go to the original Invisalign Clinic provider and not a 3rd party provider/clinic to guarantee the best results and the most optimal treatment. Pricing is not going to vary by that much, but you will be getting the best of the best doctors at this centre.
Reem Al Mustafa
Dubai
Highly, highly recommend. The doctors are very professional, and the experience at the clinic is perfect. Customer service is also the best I've seen at a dental clinic. If you're considering Invisalign treatment I would recommend you go to the original Invisalign Clinic provider and not a 3rd party provider/clinic to guarantee the best results and the most optimal treatment. Pricing is not going to vary by that much, but you will be getting the best of the best doctors at this centre.
Reem Al Mustafa
Dubai
I simply HAVE to share my incredible experience with Invisalign Center. I’ve seen so many people on social media raving about their Invisalign treatments, showing off incredible smiles that I honestly thought were veneers! I couldn't believe that such natural-looking perfection was actually achievable with just aligners. Now I know it’s real!
Viktoriia Volk
Dubai
I simply HAVE to share my incredible experience with Invisalign Center. I’ve seen so many people on social media raving about their Invisalign treatments, showing off incredible smiles that I honestly thought were veneers! I couldn't believe that such natural-looking perfection was actually achievable with just aligners. Now I know it’s real!
Viktoriia Volk
Dubai
I simply HAVE to share my incredible experience with Invisalign Center. I’ve seen so many people on social media raving about their Invisalign treatments, showing off incredible smiles that I honestly thought were veneers! I couldn't believe that such natural-looking perfection was actually achievable with just aligners. Now I know it’s real!
Viktoriia Volk
Dubai
Frequently Asked Questions
Frequently Asked Questions
Use a soft toothbrush and mild soap or the official invisalign® Cleaning Crystals. Avoid hot water, which can warp the plastic. Clean them daily to keep your aligners clear and odor-free.
Use a soft toothbrush and mild soap or the official invisalign® Cleaning Crystals. Avoid hot water, which can warp the plastic. Clean them daily to keep your aligners clear and odor-free.
You should wear your clear aligners for at least 22 hours a day. The 30-minute rule means you shouldn’t leave them out for more than 30 minutes at a time when eating or drinking, as longer breaks can delay your progress.
You should wear your clear aligners for at least 22 hours a day. The 30-minute rule means you shouldn’t leave them out for more than 30 minutes at a time when eating or drinking, as longer breaks can delay your progress.
Successful invisalign before and after results usually happen over a period of 6 to 18 months, depending on your dental concerns and compliance to treatment. The consultation and regular check ups with our expert orthodontists will guide steady progress and lasting smile transformations
Successful invisalign before and after results usually happen over a period of 6 to 18 months, depending on your dental concerns and compliance to treatment. The consultation and regular check ups with our expert orthodontists will guide steady progress and lasting smile transformations
Invisalign is a better alternative to braces for patients who prioritise discreet and comfortable solutions to bite problems. However, our expert orthodontist will assess your suitability for invisalign and tailor treatment plans based on your unique dental concerns and smile goals.
Invisalign is a better alternative to braces for patients who prioritise discreet and comfortable solutions to bite problems. However, our expert orthodontist will assess your suitability for invisalign and tailor treatment plans based on your unique dental concerns and smile goals.
Some patients experience a temporary lisp at first, which normally goes away after a few days or once you get used to wearing clear aligners.
Some patients experience a temporary lisp at first, which normally goes away after a few days or once you get used to wearing clear aligners.
Yes, but only under your dentist’s guidance. Some patients use whitening gels between aligner changes for the best results. Zoom teeth whitening is also a safe and effective option to brighten your smile during treatment.
Yes, but only under your dentist’s guidance. Some patients use whitening gels between aligner changes for the best results. Zoom teeth whitening is also a safe and effective option to brighten your smile during treatment.
Book a Consultation
Contact Us
Contact Us
Fill out the form to schedule a consultation with our experienced dentists. And if you have questions or need assistance, reach out to our team—we’re happy to help.
Fill out the form to schedule a consultation with our experienced dentists. And if you have questions or need assistance, reach out to our team—we’re happy to help.
Toll Free
Working Hours
Sunday
|
Monday
|
Tuesday
|
Wednesday
|
Thursday
09:00 am–8:00 pm
Friday
|
Saturday
09:00 am–6:30 pm






Flash Sale: Kids & Teens Invisalign - Start Today & Get 50% OFF - Learn More
Flash Sale: Kids & Teens Invisalign - Start Today & Get 50% OFF - Learn More















